Cargando Trigueros ...

MARCADORES

Vrn-A1

Este marcador permite diferenciar  las variantes alélicas primaverales y el alelo salvaje invernal proveniente de mutaciones detectadas en la región del promotor del gen Vrn-A1 (Yan et al., 2004).

El alelo recesivo invernal (Vrn-A1) presenta un producto de amplificación de 350 pb. El alelo dominante primaveral (Vrn-A1a) el cual presenta una inserción en la región del promotor, y una duplicación parcial del gen Vrn-A1 muestra productos de PCR de 490 y 581 pb. Finalmente el alelo dominante primaveral Vrn-A1b el cual exhibe una deleción de 22 pb en el promotor presenta un producto de amplificación de 328 pb.

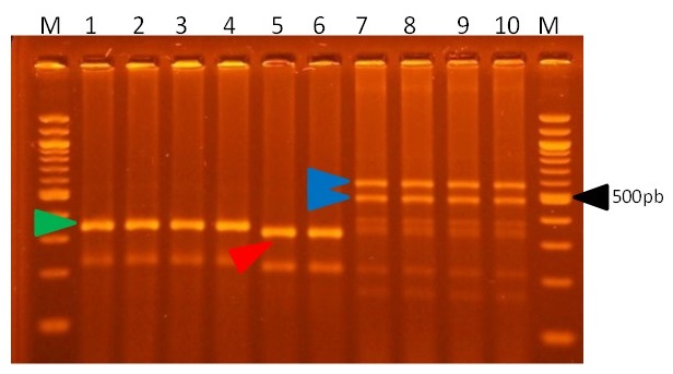
Gel de electroforesis donde se observan bandas del alelo invernal Vrn-A1, alelo primaveral Vrn-A1b y bandas con los dos fragmentos del alelo primaveral Vrn-A1a.

Los productos de PCR son visualizados en geles de agarosa al 2% teñidos con bromuro de etidio. La punta de flecha verde marca el fragmento de ADN de 350 pb perteneciente al alelo invernal Vrn-A1 (calles 1 a 4). La punta de flecha roja indica el fragmento de 328 pb perteneciente al alelo primaveral Vrn-A1b (calles 5 y 6). Finalmente las puntas de flecha azules señalan los fragmentos de 490 y 581 pb del alelo primaveral Vrn-A1a (calles 7 a 10). La punta de flecha negra señala el fragmento de 500 pb del marcador de peso molecular de 100 pb (Biodynamics)

Primers

Vrn1aJD-F:  5′- GAA AGG AAA AAT TCT GCT CG -3′

Vrn1aMH-R:  5′- TGG TTG GGT GAG GAC GTG AGG -3′

Concentración final de productos utilizados en las reacciones de PCR:

1X Taq buffer (libre de Mg); dNTP: 200 µM c/u; MgCl2: 3.0 mM; primers: 0.2 µM c/u; Taq: 1 U; ADN genómico: 50-100 ng/reacción; Volumen final: 25 µl

 Programa de PCR:

Desnaturalización: 94 °C, 4 min; Amplificación (40 ciclos); 94 °C 45 seg, 50 °C 45 seg, 72 °C 45 seg; Extensión: 72 °C 15 min

Caracterización de la Variabilidad Genética presente en Variedades Argentinas de Trigo.

Vrn-A1 Variedad
s

362, 55CL, ACA 201, ACA 202, ACA 223, ACA 360, ACA 903B, ACA 907, BAGUETTE 17, BAGUETTE 30, BARLETTA 77, BIOINTA 1003, BIOINTA 1004, BUCK 75 ANIVERSARIO, BUCK AGP FAST, BUCK BIGUA, BUCK BRASIL, BUCK CHACARERO, BUCK DESTELLO, BUCK METEORO, BUCK PINGO, BUCK PRONTO, BUCK PUELCHE, BUCK RESPLANDOR, INIA CENTINELA, INIA CHURRINCHE, INIA CONDOR, KLEIN 100 AÑOS, KLEIN CHAJA, KLEIN GAVILAN, KLEIN PROMETEO, KLEIN VALOR, LE 2330, MS INTA 816, PROINTA ELITE, PROINTA GRANAR, PROINTA GUAZU, PROINTA ISLA VERDE, RAGT QUIRIKO, RELMO SIRIRI

w

365, 915, 916, 920, ACA 308, ACA 320, ACA 602, ACA 604, ACA 608, ACA 801, ACA 901, ACA 906, ALAMO, ALHAMBRA, BAGUETTE 21, BAGUETTE 31, BAGUETTE 450, BAGUETTE 501, BAGUETTE 620, BAGUETTE 680, BAGUETTE 750, BAGUETTE 802, BASILIO, BIOCERES 1008, BIOINTA 1000, BIOINTA 1001, BIOINTA 1002, BIOINTA 1005, BIOINTA 1006, BIOINTA 2001, BIOINTA 2004, BIOINTA 3003, BIOINTA 3004, BIOINTA 3005, BUCK BAQUEANO, BUCK CAMBA, BUCK CUMELEN, BUCK FULGOR, BUCK GUAPO, BUCK HUANCHEN, BUCK MALEVO, BUCK MANGRULLO, BUCK MUTICIA, BUCK NAPOSTA, BUCK NORTEÑO, BUCK PACIFICO, BUCK RANQUEL, BUCK SAETA, BUCK TAITA, CEIBO, DM ALERCE, DM ALGARROBO, DM AREX, DM ATLAX, DM CRONOX, DM MAITEN, DM ONIX, DM SAUCE, DM THEMIX, DM ÑANDUBAY, FRESNO, GINGKO, HO CARCARAÑA, HORNERO IS, INIA TORCAZA, KLEIN 32, KLEIN BRUJO, KLEIN CACIQUE, KLEIN CAPRICORNIO, KLEIN CARPINCHO, KLEIN CASTOR, KLEIN DONENRIQUE, KLEIN ESCORPION, KLEIN FAVORITO II, KLEIN GEMINIS, KLEIN GLADIADOR, KLEIN GUERRERO, KLEIN LANZA, KLEIN LEON, KLEIN MINERVA, KLEIN NUTRIA, KLEIN PANTERA, KLEIN POTRO, KLEIN PROTEO, KLEIN RAYO, KLEIN RENDIDOR, KLEIN SELENIO CL, KLEIN TAURO, KLEIN TIGRE, KLEIN TITANIO CL, KLEIN YARARA, KLEIN ZORRO, LAPACHO, LE 2331, LE 2333, LE 2341, LE 2425, LG ARLASK, LG PAMPERO, LG ZAINO, MS INTA 119, MS INTA 415, MS INTA 623 CL, MS INTA 815, MS INTA BON. 817, OLAETA ARTILLERO, PROINTA GAUCHO, PROINTA OASIS, SINVALOCHO, SRN NOGAL, SY 100, SY 109, SY 120, SY 200, SY 200, SY 211, SY 330, TIMBO, TORDO IS

s*

ACA 917, BAGUETTE 10, BAGUETTE 18, BAGUETTE 19, BAGUETTE 550, BAGUETTE 9, BAGUETTE P. 11, BUCK COLIHUE, BUCK PEREGRINO, CEDRO, DM PEHUEN, GUAYABO, JACARANDA, KLEIN ATLAS, KLEIN CENTAURO, MS INTA 617, SY 300

s = alelo primaveral Vrn-A1a; s* = alelo primaveral Vrn-A1b; w = alelo invernal.

Aclaración: Los datos de la caracterización molecular aquí mostrados pueden contener variaciones según el origen de las semillas utilizadas, se recomienda utilizarlos de manera orientativa.

Referencias

  • Yan, L., Helguera, M., Kato, K., Fukuyama, S., Sherman, J., & Dubcovsky, J. (2004). Allelic variation at the VRN-1 promoter region in polyploid wheat. Theoretical and Applied Genetics, 109(8), 1677–1686. https://doi.org/10.1007/s00122-004-1796-4
Scroll al inicio