Cargando Trigueros ...

MARCADORES

Vrn-D1

Este marcador permite diferenciar  las variantes alélicas primaverales y el alelo salvaje invernal proveniente de deleciones detectadas en el primer intrón del gen Vrn-D1 (Fu et al., 2004).

Similar a lo realizado con el gen Vrn-B1, para el gen Vrn-D1 se desarrollaron dos marcadores dominantes, donde cada uno de los marcadores amplifica una variante alélica (primaveral o invernal), en combinación estos marcadores permiten detectar de manera codominante la segregación del gen Vrn-D1 en una población.

El marcador Intr1/D/F-Intr1/D/R3 permite detectar la variante alélica dominante primaveral del gen Vrn-D1 causada por una deleción (4.235 pb) en el intrón 1 del gen, mientras que el marcador Intr1/D/F-Intr1/D/R4 permite detectar el alelo salvaje invernal del gen Vrn-D1 (Fu et al., 2005).

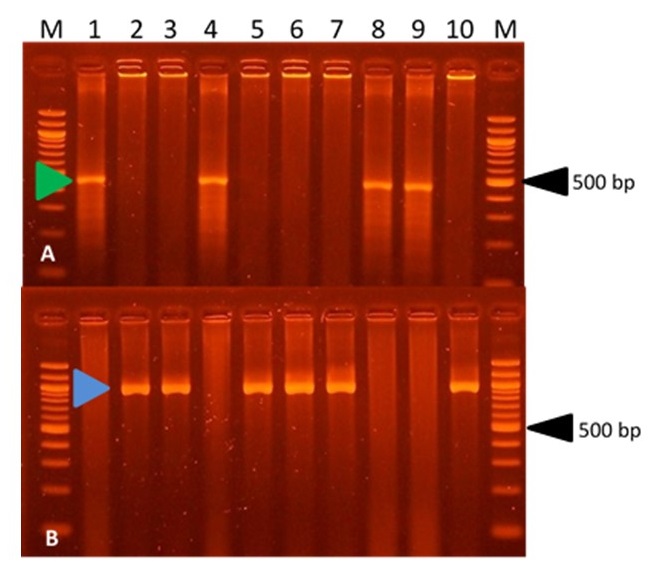
Los productos de PCR son visualizados en geles de agarosa al 2% teñidos con bromuro de etidio.  La falta de amplificación señala la presencia del alelo primaveral. En ambas figuras la punta de flecha negra señala el fragmento de 500 pb del marcador de peso molecular de 100 pb (Biodynamics). 

2 Geles de electroforesis en el superior se observan bandas que indican la presencia del alelo VrnD1 primaveral. En el inferior se observa bandas que indican presencia del alelos VrnD1 invernal.

Figura A: La punta de flecha verde marca el fragmento de ADN de 473 pb perteneciente al alelo primaveral Vrn-D1 (calles 1, 4, 8 y 9). La ausencia de amplificación señala la presencia del alelo invernal. Figura B: La punta de flecha azul marca el fragmento de 997 pb perteneciente al alelo invernal Vrn-D1 (calles 2, 3, 5, 6, 7 y 10).

Primers

Marcador dominante para detectar la presencia de deleción en el intrón 1 del gen Vrn-D1

Intr1/D/F:   5′- GTT GTC TGC CTC ATC AAA TCC -3′

Intr1/D/R3:  5′- GGT CAC TGG TGG TCT GTG C -3′

Marcador dominante la ausencia de deleción  en el intrón 1 del gen Vrn-D1

Intr1/D/F:   secuencia detallada arriba

Intr1/D/R4:  5′- AAA TGA AAA GGA ACG AGA GCG -3′

Concentración final de productos utilizados en las reacciones de PCR:

1X Taq buffer (libre de Mg); dNTP: 200 µM c/u; MgCl2: 1.5 mM; primers: 0.2 µM c/u; Taq: 1 U; ADN genómico: 50-100 ng/reacción; Volumen final: 25 µl

 Programa de PCR

Desnaturalización: 94 °C, 4 min; Amplificación (40 ciclos); 94 °C 45 seg, TD 65-61 °C 45 seg, 72 °C 45 seg; Extensión: 72 °C 15 min.

Caracterización de la Variabilidad Genética presente en Variedades Argentinas de Trigo.

Vrn-D1 Variedad
w

55CL, ACA 202, ACA 223, ACA 801, ACA 903B, BAGUETTE 10, BAGUETTE 17, BAGUETTE 18, BAGUETTE 19, BAGUETTE 21, BAGUETTE 30, BAGUETTE 31, BAGUETTE 550, BAGUETTE 620, BAGUETTE 750, BAGUETTE 802, BAGUETTE 9, BAGUETTE P. 11, BARLETTA 77, BASILIO, BIOINTA 1000, BIOINTA 1003, BIOINTA 1004, BIOINTA 2004, BIOINTA 3003, BIOINTA 3005, BUCK 75 ANIVERSARIO, BUCK AGP FAST, BUCK BRASIL, BUCK GUAPO, BUCK MALEVO, BUCK MANGRULLO, BUCK NAPOSTA, BUCK NORTEÑO, BUCK PRONTO, BUCK PUELCHE, BUCK RANQUEL, BUCK RESPLANDOR, BUCK TAITA, DM ALGARROBO, DM THEMIX, INIA CONDOR, INIA TORCAZA, KLEIN 32, KLEIN ATLAS, KLEIN CENTAURO, KLEIN CHAJA, KLEIN DONENRIQUE, KLEIN LEON, KLEIN NUTRIA, KLEIN VALOR, LE 2331, LE 2341, LE 2425, MARCOS JUAREZ INTA, MS INTA 617, MS INTA 815, OLAETA ARTILLERO, PROINTA ELITE, PROINTA GRANAR, PROINTA ISLA VERDE, PROINTA OASIS, SINVALOCHO, SRN NOGAL, SY 120, SY 300

s

ACA 201, ACA 320, ACA 901, ACA 906, ACA 907, BAGUETTE 450, BAGUETTE 501, BIOCERES 1008, BIOINTA 1001, BIOINTA 1002, BIOINTA 1005, BIOINTA 1006, BIOINTA 2001, BIOINTA 3004, BUCK BAQUEANO, BUCK BIGUA, BUCK CHACARERO, BUCK HUANCHEN, BUCK METEORO, BUCK PINGO, BUCK SAETA, CEIBO, DM AREX, DM ATLAX, DM CRONOX, DM ONIX, GINGKO, INIA CENTINELA, INIA CHURRINCHE, KLEIN 100 AÑOS, KLEIN BRUJO, KLEIN CACIQUE, KLEIN CAPRICORNIO, KLEIN CARPINCHO, KLEIN CASTOR, KLEIN ESCORPION, KLEIN GAVILAN, KLEIN GLADIADOR, KLEIN GUERRERO, KLEIN IMPACTO, KLEIN LANZA, KLEIN PANTERA, KLEIN POTRO, KLEIN PROTEO, KLEIN RAYO, KLEIN RENDIDOR, KLEIN TAURO, KLEIN TIGRE, KLEIN YARARA, KLEIN ZORRO, LE 2330, LE 2333, MS INTA 415, MS INTA 816, PROINTA GAUCHO, RELMO SIRIRI, SY 100, SY 200

s = alelo primaveral Vrn-D1; w = alelo invernal.

Aclaración: Los datos de la caracterización molecular aquí mostrados pueden contener variaciones según el origen de las semillas utilizadas, se recomienda utilizarlos de manera orientativa.

Referencias

  • Fu, D., Szűcs, P., Yan, L., Helguera, M., Skinner, J. S., von Zitzewitz, J., Hayes, P. M., & Dubcovsky, J. (2005). Large deletions within the first intron in VRN-1 are associated with spring growth habit in barley and wheat. Molecular Genetics and Genomics, 273(1), 54–65. https://doi.org/10.1007/s00438-004-1095-4
Scroll al inicio